Ryan Kay, DMD, MS

Sensitive and Reliable Dental Care from a Team You Can Trust.

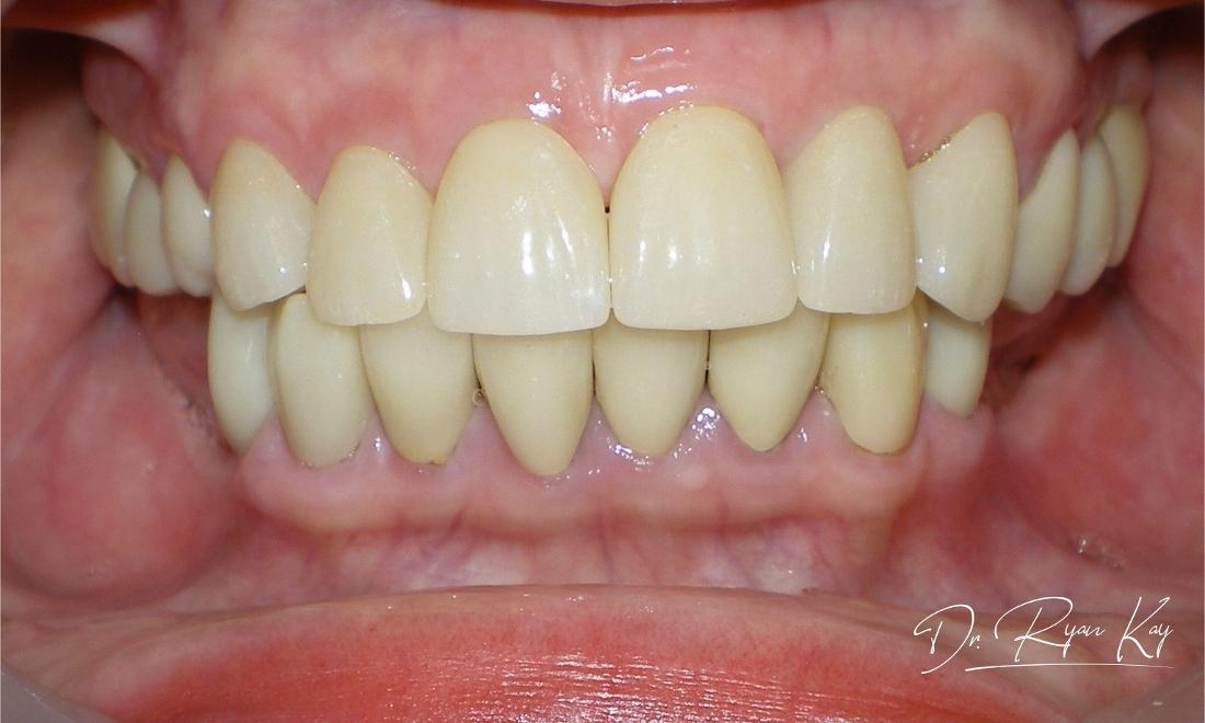
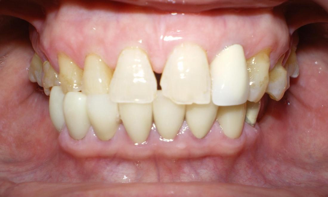
Crowns

Previous dental work on her bottom teeth left her with a crossbite and worn down upper teeth. With beautiful crowns on her upper teeth, her bite was restored and protected. Not pictured is a lower partial denture to replace her missing back teeth until she was ready for dental implants.

Related Services:

Dental Crowns
Have Questions? Get in Touch
If you have difficulty using our website, please email us or call us at (760) 753-3533