




























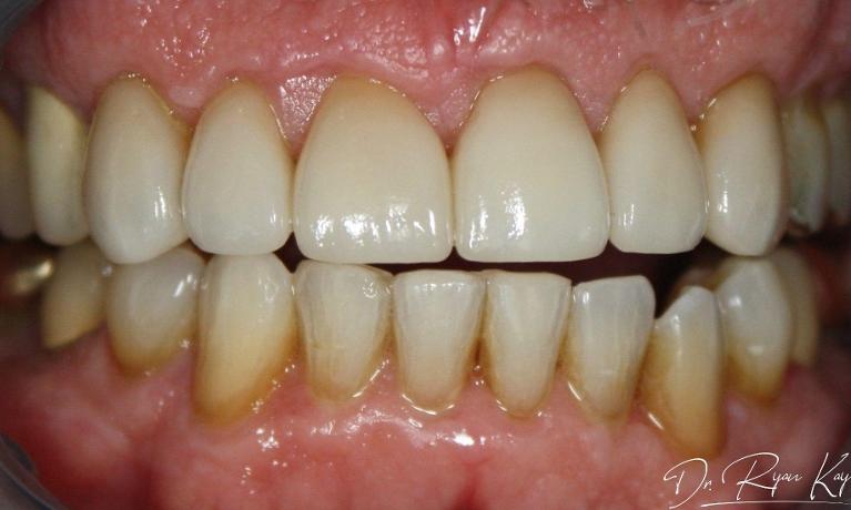
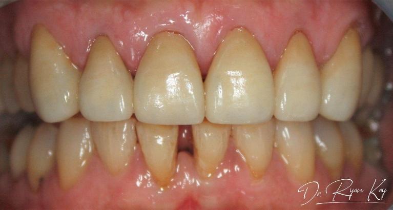
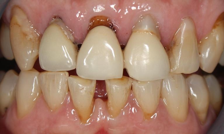
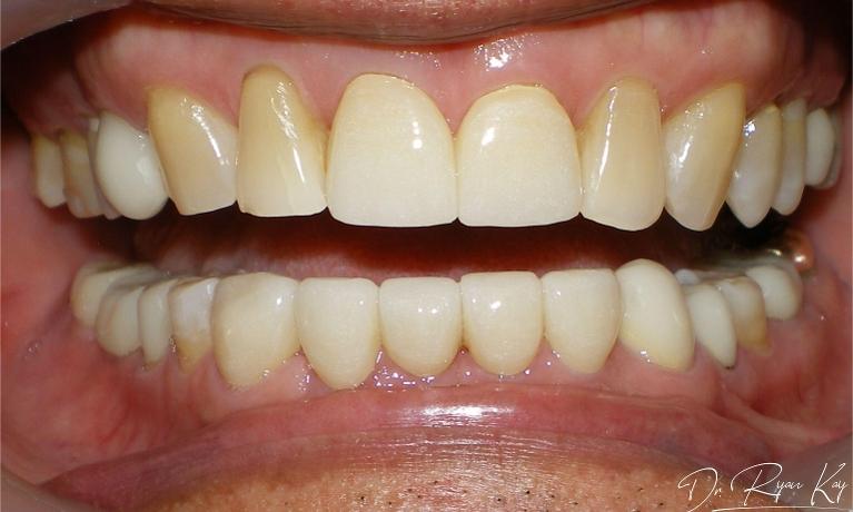
Encinitas Ranch Dentistry has an amazing staff and Dr. Kay is a perfectionist in his work. I recently had work done on an old implant, and his implant expertise was also exceptional. Everyone is very personable, feels like family. I highly recommend this office.
We look forward to meeting you.
Call (760) 753-3533 or request an appointment online to set up your first visit.