Ryan Kay, DMD, MS

Sensitive and Reliable Dental Care from a Team You Can Trust.

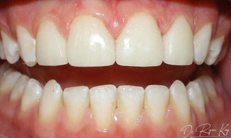
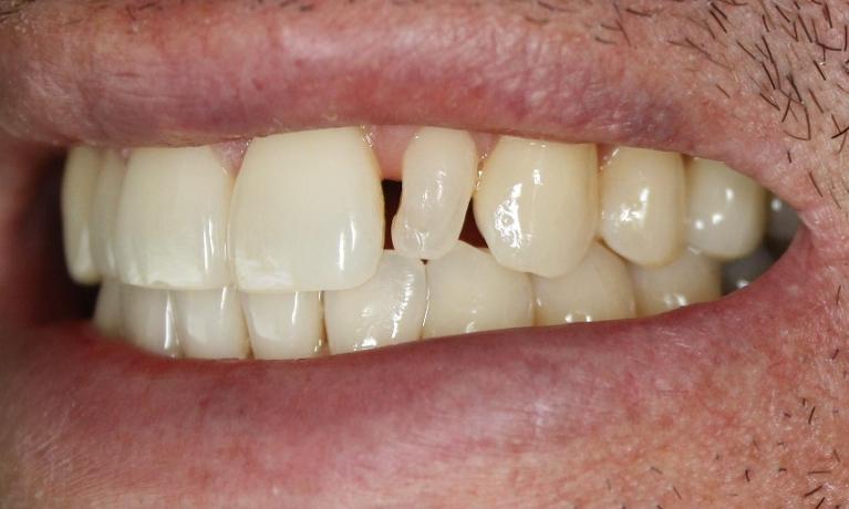
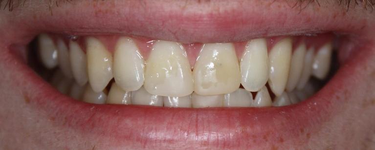
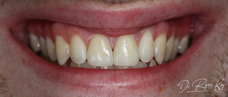
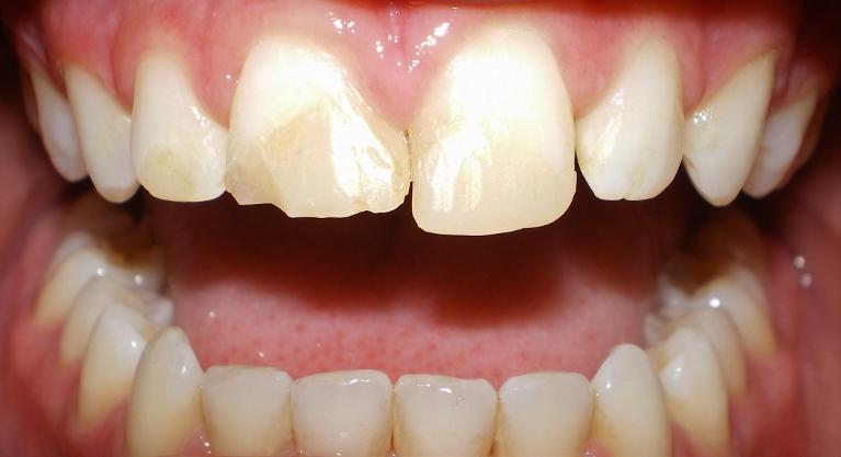
Smile Gallery: Porcelain Veneers

When patients come to us about improving their dental health, they want to look and feel great. Whether we are working on a cosmetic case or simply doing restorations, we want to provide dentistry that looks and feels comfortable so you can feel confident about your smile. 

Please enjoy browsing our before and after photos so you can begin to imagine the possibilities of what great dentistry can offer.

Ready to book an appointment?
Smile Gallery Categories
If you have difficulty using our website, please email us or call us at (760) 753-3533
View the ADA Accessibility Statement